
病例
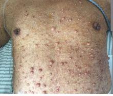
我出生后不久就患有一种罕见病:皮肤出现色素沉着斑,且逐渐增多,身上陆续长出“肉疙瘩”,不疼也不痒,看起来很恐怖,随着年龄增大,“肉疙瘩”逐渐变化,小的如蚕豆,大的如鸽子蛋。——李女士的自白

1年前,李女士右大腿外侧一处“肉疙瘩”发生恶变,瘤体迅速增大。仅仅半年时间,瘤体就生长到几乎和自身体重一样重,因为肿瘤负荷太重,她不能直立行走,只能卧床,体质越来越差。
患者和家属来到河南省肿瘤医院骨与软组织科寻求帮助。专家团队经过仔细讨论,诊断为神经纤维瘤局部恶变,手术可能是患者生存下来的唯一希望。经过4小时的手术,30公斤重的“肉疙瘩”终于被完整的切下来。

患者术前

患者术后
本期特邀河南省肿瘤医院骨与软组织科王帮民医生带您深入了解神经纤维瘤病。

王帮民
河南省肿瘤医院骨与软组织科,主治医师,擅长骨肿瘤,软组织肉瘤,脊柱转移瘤的诊治,已发表SCI 4篇,发明专利2项,参与编写著作3部。
一、什么是神经纤维瘤病?
神经纤维瘤病是一组常染色体显性遗传病,是基因缺陷使神经嵴细胞发育异常导致多系统损害,可能累及皮肤、外周或中枢神经系统、骨骼、脉管系统、内分泌系统等多个系统。
其发病率约1/3000,每3000个出生婴儿中约有1个患儿,无明显男女差异,有家族聚集和遗传倾向。保守估计目前我国神经纤维瘤病患者80-100万,每年新增4000-5000例。

二、神经纤维瘤病有几种类型?
神经纤维瘤病根据临床表现和基因缺陷定位常常分为三个亚型:神经纤维瘤病一型(NF1)、二型(NF2)和三型神经纤维瘤——神经鞘瘤(Schwannomatosis)。其中NF1更常见,外显率高。


NF1
典型的症状有皮肤咖啡牛奶斑、外周神经多发的鞘瘤、腋窝或腹股沟雀斑样色素沉着、虹膜Lisch结节、视神经胶质瘤等,往往随年龄增长而逐渐出现。此外还可能出现脊柱侧弯、先天性心脏病、癫痫、认知力受损等涉及多个系统的并发症。

NF2
是另外一种常染色体显性遗传性斑痣性错构瘤病,基因位于22号染色体,22q12.2,病变主要位于中枢神经系统。典型影像学表现为双侧前庭神经鞘瘤、多发性脑膜瘤和脊髓室管膜瘤。
三型神经纤维瘤——神经鞘瘤
相对前两型发病率低,是22号染色体,22q11.23基因异常。
三、神经纤维瘤病诊断后去哪个科室就诊?
1 如果诊断为NF1,应该到骨与软组织科、皮肤科、眼科等相关症状的科室就诊。
2 如果诊断为NF2,建议到神经外科就诊。患者应根据自身情况去相应科室就诊。
四、神经纤维瘤病遗传吗?恶变吗?
神经纤维瘤病属于常染色体显性遗传病
有遗传倾向,遗传几率比较高,约50%。在临床上多为隔代遗传。但是本病不具有传染性。
神经纤维瘤病为良性肿瘤
恶变几率不高,1-5%,需要定期观察,自我监测,如果发现短期内瘤体迅速增大,疼痛加剧,或者肿瘤破溃出血,需要及时医院就诊。
五、神经纤维瘤病如何治疗?
手术是神经纤维瘤的主要治疗方式
当瘤体较大引起疼痛症状、影响外观或者产生压迫症状;疑有瘤体恶变;瘤体破裂伴急性出血时均可考虑手术治疗。但有时手术治疗难度高,风险很大,且手术后仍然容易复发。NF2引起相应症状需要神经外科手术切除。NF1引起外观或者功能障碍,影响患者心理健康和社会适应性时需要考虑整形外科手术治疗。
近年来NF1的靶向治疗取得了显著的成功
2020年4月,FDA正式批准MEK抑制剂司美替尼(Selumetinib)的上市,用于治疗2岁以上、患有症状的、无法手术的神经纤维瘤儿童患者。这是FDA批准的第一个针对NF1的靶向治疗药物,其有效性已得到证实,但国内还未有相关药物试验的报道。
【END】
生意营销3大宝:彩铃、定位、认证,一个也不能少,如有需要,添加 微信:xnc528 备注:3
如若转载,请注明出处:https://www.clzz8.com/37326.html
