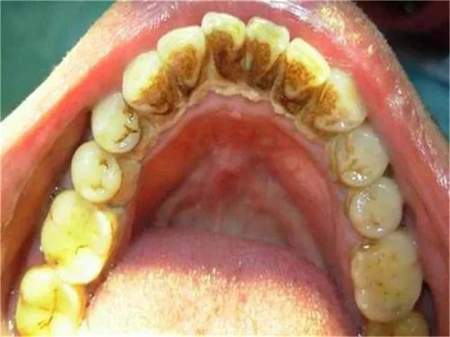
牙结石的扩散可把我害惨了,一排排看起来又黑又黄,颜色说不上的怪异,换了N个牙膏怎么刷都是纹丝不动的,后来在专业人士的建议下开始使用牙粉改善问题,没想到还真把我的牙结石给刷掉了,作为一个过来人可得跟大家好好唠唠我的经验!
1、欧丹锦牙粉:这个是我一个在牙科工作的朋友建议我用的牙粉的粉质很细腻,味道是柠檬的清香,丝毫不刺激,我每次用完牙粉洁牙后,都感觉嘴巴里面是冰凉的清香味道,对于去除异味效果也是真的好,就算我吃了比较重口的食物刷完牙也都基本闻不到了。
我当时坚持早晚使用,不到一个月的时间,我刷牙的时候就看到脱落的牙结石,虽然颗粒不算大但总归看到了效果,然后我继续接着用了一个多月,口腔里牙齿上的牙结石就已经掉很多了,牙齿比之前整齐了很多也比开始亮白了好几个度,后来我又复购了两盒牙粉搭配牙膏一起用,还送了一个口喷还挺换算的,效果也很ok!
2、齿贝白牙粉:我是看网友们说他效果好,于是我才买来试试看,用了一次感觉起沫有点难,第一次用完感觉嘴巴里面有点麻麻的,吃点味道重的食物会感觉有点痛,不过牙粉本身的清洁能力还可以,清新口气效果也不错,我当时用了一个多月的时间,没看到祛牙结石的效果!不过作为清新口气算是有效果的!
3、黑人牙膏:这个牙膏大家基本都用过是一个国货品牌,用起来清新口气效果很不错,这个牙膏我觉得还有一个功效就是醒神,每天早上刷完牙冰凉感一下子就不困了,自从牙结石被刷掉之后我就习惯用牙粉搭配牙膏来用,我常用的就是黑人牙膏,我觉得效果还不错哦,这样用牙粉也省量了而且效果也没有减少,大家可以都试试。
上面的都是我自己用过且认为对牙结石起到一定功效的产品,有此困扰的大家可以根据自己的情况酌情选择使用!
生意营销3大宝:彩铃、定位、认证,一个也不能少,如有需要,添加 微信:xnc528 备注:3
如若转载,请注明出处:https://www.clzz8.com/35936.html
